★PMTCでむし歯・歯周病を防ぐ
PMTCでむし歯・歯周病を防ぐ


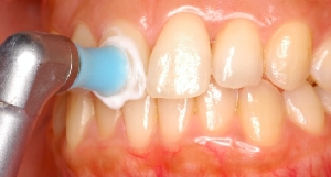
PMTC (プロフェッショナル・メカニカル・トゥース・クリーニング)とは、歯科衛生士が専門的な器械を使って行うことで、むし歯・歯周病の予防に有効とされています。毎日、隅々まで磨いているつもりでも、どうしても歯ブラシの届きにくい所 汚れがたまりやすい所が出来てしまいます。この部分を専用の器械を使って清掃します。PMTCには、むし歯や歯周病を防ぐはたらきや改善させるだけでなく、歯質の強化とともに、歯の着色を除去し、光沢のあるきれいな歯を保つ、などの効果があります。
PMTCの効果
・ バイオフィルムの破壊
・ 菌の菌力を弱める→むし歯になりにくい口腔になる
・ 歯周病、歯肉炎の予防
・ きれいな歯を保つ、口臭を防ぐ
バイオフィルムとは
ミュータンス菌などの細菌が集合体を作り、歯の表面に形成された膜をバイオフィルムといいます。
バイオフィルムが形成されると、ミュータンス菌は、歯の表面のまるでテントのような膜に守られて活動します。この膜は、汚れや細菌を引き寄せる作用があるうえ、通常の歯磨きやクリーニングでは除去できないもので、一度除去してもしばらくたつとまた作られるという、とてもがんこな存在なのです。
フッ化物や抗菌剤はこの膜にじゃまされて、充分に効果を発揮することができません。薬剤の効果を最大限に発揮させ、細菌を除去するためには、この膜を機械的に破壊し、再び作られる前に薬剤をしっかり送り込むことが必要です。




HOME
初診の方へ
Link
初診の方へ
当院の考え方








HOME